Dán sứ veneer toàn hàm được coi là giải pháp thẩm mỹ toàn diện cho những ai mong muốn sở hữu nụ cười trắng sáng, đồng đều và tự nhiên mà không cần can thiệp quá nhiều vào răng thật. Vậy, dán veneer toàn hàm thực chất là gì, phù hợp với ai và quy trình thực hiện ra sao?
Dán sứ veneer toàn hàm là như thế nào?
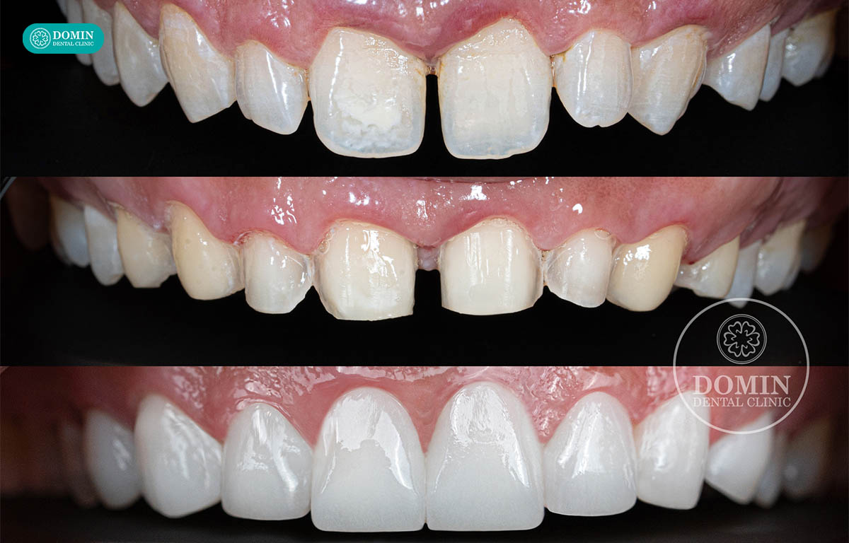
Dán sứ veneer toàn hàm là phương pháp hiện đại, sử dụng mặt dán sứ siêu mỏng, chỉ khoảng 0.2–0.5mm, phủ lên toàn bộ bề mặt ngoài của răng vùng cười. Mục đích của phương pháp này là cải thiện hình dáng, màu sắc và độ đồng đều của răng, giúp mang lại nụ cười trắng sáng, tự nhiên mà vẫn giữ nguyên gần như toàn bộ cấu trúc răng thật bên trong.

Các mặt dán veneer hiện nay được chế tác từ vật liệu sứ cao cấp như sứ thủy tinh (Emax, Celtra Press…) hoặc sứ Lithium Disilicate. Đây là những loại sứ có độ trong quang học cao, giúp phản chiếu ánh sáng tương tự như men răng thật, đồng thời có độ cứng, độ bền và khả năng chịu lực vượt trội, đảm bảo hiệu quả thẩm mỹ và chức năng lâu dài.
Về quy trình thực hiện, veneer toàn hàm không chỉ dừng lại ở việc dán sứ lên răng, mà còn bao gồm thiết kế lại tổng thể nụ cười từ hình dáng, tỷ lệ, viền nướu, cho đến độ sáng và độ hài hòa với khuôn mặt.
Nhờ vậy, dán sứ veneer toàn hàm được xem là giải pháp thẩm mỹ cao cấp, giúp tái tạo nụ cười tự nhiên, đồng nhất và chuẩn thẩm mỹ quốc tế.
Trường hợp nên làm veneer toàn hàm
Dán sứ veneer toàn hàm được chỉ định trong các trường hợp răng vẫn còn khỏe, chưa bị tổn thương nặng, nhưng cần cải thiện đồng bộ về màu sắc, hình thể và tỷ lệ nụ cười. Cụ thể gồm những nhóm sau:

Răng bị xỉn màu, ố vàng nặng
- Trường hợp răng nhiễm màu sâu do tetracycline, fluor, hay thói quen hút thuốc, uống cà phê lâu năm.
- Tẩy trắng không còn hiệu quả, cần can thiệp bằng mặt dán veneer để che phủ toàn bộ vùng răng đổi màu, khôi phục độ sáng trong tự nhiên.
Răng sứt mẻ, mòn men, không đều
- Răng bị mòn do chải răng sai cách, nghiến răng, hoặc sứt nhẹ do va chạm.
- Hình thể răng không đồng đều, có kích thước nhỏ hoặc ngắn hơn các răng khác. Veneer toàn hàm giúp tạo lại sự đồng bộ về hình dáng và chiều cao răng.
Răng thưa, khe hở nhỏ giữa các răng

- Các trường hợp răng thưa nhẹ nhưng không cần hoặc không muốn niềng chỉnh nha. Lúc này, mặt dán veneer có thể được thiết kế để lấp khe hở một cách tự nhiên, mà không làm thay đổi khớp cắn.
Răng hơi lệch, xoay nhẹ trong giới hạn cho phép
- Phù hợp với người có răng lệch nhẹ, nghiêng hoặc xoay nhẹ, nhưng xương và khớp cắn vẫn ổn định. Veneer toàn hàm có thể điều chỉnh cảm giác thị giác để răng trông đều và thẳng hàng hơn.
Người mong muốn cải thiện toàn bộ nụ cười
- Những người làm việc trong lĩnh vực yêu cầu hình ảnh, giao tiếp, thẩm mỹ cao như MC, diễn viên, doanh nhân, hay người có mong muốn nâng tầm ngoại hình.
Quy trình dán răng sứ Veneer toàn hàm
Để đạt được nụ cười đẹp, tự nhiên và bền lâu, quá trình dán sứ veneer toàn hàm được thực hiện theo quy trình chuẩn hóa gồm 5 bước, đảm bảo độ chính xác cao và tính thẩm mỹ tối ưu cho từng khách hàng:

Bước 1: Thăm khám và đánh giá tổng quát
Bác sĩ tiến hành kiểm tra tình trạng răng, nướu, chụp phim và chụp ảnh trong – ngoài miệng để đánh giá độ dày men răng, khớp cắn và tỷ lệ nụ cười. Từ kết quả này, bác sĩ xác định bạn có đủ điều kiện để làm veneer hay không, đồng thời lên kế hoạch điều trị cá nhân hóa phù hợp với khuôn mặt và mong muốn của bạn.
Bước 2: Thiết kế nụ cười
Dựa trên dữ liệu thu thập, bác sĩ và kỹ thuật viên sẽ mô phỏng nụ cười mới bằng phần mềm kỹ thuật số. Khách hàng có thể xem trước hình ảnh dự kiến của hàm răng sau khi hoàn thiện, giúp đảm bảo kết quả thẩm mỹ đúng ý và cân đối với khuôn mặt.
Bước 3: Xử lý bề mặt răng
Đây là bước tạo điều kiện để mặt dán bám chắc và khớp sát với răng thật. Bác sĩ sẽ mài nhẹ hoặc tạo nhám trên lớp men răng, với độ xâm lấn cực nhỏ, hoàn toàn không ảnh hưởng đến tủy hay mô răng bên trong.
Bước 4: Lấy dấu răng kỹ thuật số
Sau khi chuẩn bị xong bề mặt, bác sĩ sử dụng máy quét 3D trong miệng để lấy dấu toàn hàm.
Dữ liệu được gửi trực tiếp đến labo để chế tác từng mặt dán veneer với độ chính xác gần như tuyệt đối, giúp răng sứ ôm khít, không hở, không cộm.
Bước 5: Gắn veneer và hoàn thiện nụ cười
Khi mặt dán hoàn thiện, bác sĩ sẽ thử veneer trên răng thật để kiểm tra độ khít, màu sắc và hình thể, sau đó tiến hành gắn cố định bằng vật liệu nha khoa chuyên dụng.
 Kết thúc quy trình, khách hàng được hướng dẫn chăm sóc và tái khám định kỳ để duy trì vẻ đẹp và độ bền của veneer trong nhiều năm.
Ưu điểm của dán veneer toàn hàm
Dán sứ veneer toàn hàm được xem là bước tiến vượt bậc của nha khoa thẩm mỹ hiện đại, không chỉ giúp tái tạo nụ cười mà còn bảo tồn tối đa cấu trúc răng thật. Dưới đây là những ưu điểm của dán veneer khiến phương pháp này được nhiều người lựa chọn:

Bảo tồn gần như toàn bộ răng thật: Mặt dán veneer chỉ phủ lên phần ngoài của răng và không cần mài nhỏ toàn bộ thân răng, nhờ đó giữ nguyên mô răng và tủy răng.
Thẩm mỹ tự nhiên: Vật liệu sứ cao cấp có độ trong quang học cao, giúp ánh sáng xuyên qua và phản chiếu như men răng tự nhiên.
Cảm giác ăn nhai tự nhiên: Nhờ lớp sứ mỏng, veneer không làm thay đổi khớp cắn, giúp người dùng ăn nhai thoải mái, không vướng cộm. Đồng thời, răng cũng giữ được độ nhạy cảm sinh học và cảm giác tự nhiên khi ăn uống.
Tuổi thọ cao, dễ bảo dưỡng: Veneer toàn hàm có thể duy trì từ 10–20 năm mà vẫn giữ được độ sáng và độ bền nếu được thực hiện và chăm sóc đúng cách.
Có thể thấy, veneer toàn hàm không đơn thuần là một kỹ thuật thẩm mỹ, mà là giải pháp tái tạo nụ cười toàn diện. Tuy nhiên, đây không phải lựa chọn cho mọi trường hợp. Với những người có răng lệch nhiều, khớp cắn sai nặng hoặc men răng yếu, việc dán veneer toàn hàm có thể không đạt hiệu quả tối ưu và cần được đánh giá kỹ lưỡng qua thăm khám và chẩn đoán chuyên sâu.
Chi phí dán veneer toàn hàm bao nhiêu?
Việc tìm hiểu chi phí dán sứ veneer toàn hàm không chỉ đơn thuần là xem một con số, mà còn là cách để hiểu rõ chất lượng vật liệu, tay nghề bác sĩ và công nghệ phía sau mỗi ca phục hình.
Hiện nay, tại Việt Nam, chi phí dán veneer dao động trong khoảng 6 – 12 triệu đồng/răng, tùy thuộc vào loại sứ, công nghệ chế tác và trình độ bác sĩ thực hiện. Với trường hợp dán toàn hàm (khoảng 16 răng vùng cười), tổng chi phí trung bình vào khoảng 100 – 200 triệu đồng, có thể cao hơn nếu lựa chọn vật liệu cao cấp hoặc yêu cầu thiết kế nụ cười kỹ thuật số chuyên sâu.
Ví dụ, tại Nha khoa Domin, dòng Emax Press (Switzerland), loại sứ cao cấp có độ trong quang học và khả năng chịu lực tốt, hiện có giá ưu đãi 5.850.000 VNĐ/răng. Khi áp dụng cho toàn hàm 16 răng, chi phí sẽ là: 5.850.000 × 16 = 93.600.000 VNĐ
Như vậy, tổng chi phí trọn gói khoảng 93,6 triệu đồng cho 16 răng veneer Emax Press, một mức giá hợp lý so với chất lượng, độ bền và hiệu quả thẩm mỹ mang lại.
Và công thức tính chi phí sẽ được áp dụng tương tự cho các dòng sứ khác, tùy vào nhu cầu thẩm mỹ, mục đích phục hình và ngân sách đầu tư của từng khách hàng. Mời bạn theo dõi chi tiết bảng giá dán sứ veneer của nha khoa Domin Tại đây.
Cách chăm sóc sau khi dán veneer toàn hàm
Sau khi hoàn tất dán veneer toàn hàm, giai đoạn quan trọng nhất không nằm ở ghế nha, mà là cách chúng ta chăm sóc hàng ngày. Dưới đây là một số những lưu ý cần thiết:
Kiểm soát lực nhai và thói quen xấu

Mặc dù veneer có độ cứng cao (gần tương đương men răng tự nhiên), nhưng lại mỏng và dễ tổn thương nếu chịu lực tập trung. Do đó, cần hạn chế cắn vật cứng, dùng răng mở nắp chai…
Vệ sinh răng miệng đúng chuẩn
Sau dán veneer, viền tiếp giáp giữa mặt dán và mô răng thật là vùng nhạy cảm, dễ tích tụ mảng bám nếu không được làm sạch triệt để. Bạn cần:
- Sử dụng bàn chải lông mềm, đầu nhỏ, thao tác nhẹ theo hướng dọc trục răng.
- Dùng chỉ nha khoa hoặc máy tăm nước để làm sạch kẽ răng — đặc biệt quan trọng với veneer toàn hàm, vì các khe nhỏ đều được dán sát nhau.
- Ưu tiên kem đánh răng không chứa hạt mài để tránh xước bề mặt sứ.
Tái khám định kỳ 6 tháng/lần
Tái khám giúp bác sĩ kiểm tra độ sát khít của veneer, tình trạng nướu quanh răng và khớp cắn tổng thể. Những sai lệch nhỏ, nếu phát hiện sớm, sẽ được điều chỉnh kịp thời để tránh bong, mẻ hoặc viêm lợi do hở viền.
Dán sứ veneer toàn hàm là giải pháp thẩm mỹ cao cấp, giúp tái tạo nụ cười tự nhiên, hài hòa và bền đẹp theo thời gian. Tuy nhiên, hiệu quả lâu dài chỉ đạt được khi được thực hiện đúng chỉ định, bởi bác sĩ có chuyên môn và được chăm sóc đúng cách sau điều trị.
Để được đánh giá tình trạng răng và tư vấn chuyên sâu về dán veneer toàn hàm, bạn có thể liên hệ ngay với Nha khoa Domin để nhận tư vấn miễn phí và lộ trình điều trị cá nhân hóa ngay hôm nay.


 
			 English
 English
 
 
                             
 
                             
 
                             
 
                             
 
                             
 
                             
 
                             
 
                             
 
                             
 
                             
 
                             
 
                             
 
                             
 
                             
 
                             
 
                             
							 
							 
							 
							 
							 
							

