Dán sứ veneer răng cửa là lựa chọn hàng đầu bởi răng cửa chính là “điểm nhấn” của nụ cười. Phương pháp này đặc biệt phù hợp cho những trường hợp răng cửa ố vàng, xỉn màu, sứt mẻ hay thưa kẽ, mang lại hàm răng sáng đẹp, tự nhiên và hài hòa.
Vì sao răng cửa thường được chỉ định dán veneer nhiều nhất?

Răng cửa là trung tâm của nụ cười, đồng thời cũng là điểm nhấn đầu tiên khi giao tiếp. Vì vậy, bất kỳ khuyết điểm nào tại vị trí này đều dễ nhận thấy và ảnh hưởng trực tiếp đến thẩm mỹ khuôn mặt.
Những vấn đề thường gặp ở răng cửa gồm: ố vàng, xỉn màu không đáp ứng với tẩy trắng, mẻ, sứt nhẹ do va chạm hoặc thưa kẽ, kích thước không cân đối với các răng bên cạnh. Các khuyết điểm này tuy ít ảnh hưởng đến chức năng ăn nhai nhưng lại tác động mạnh đến sự tự tin khi cười và giao tiếp.
Dán veneer mang đến giải pháp khắc phục hiệu quả trong những trường hợp trên. Chỉ với một lớp sứ mỏng phủ trên bề mặt, veneer có thể cải thiện đồng thời màu sắc, hình dáng và tỷ lệ răng một cách nhanh chóng.
Ưu điểm nổi bật là phương pháp này không cần niềng răng kéo dài hay bọc toàn bộ thân răng, giúp bảo tồn tối đa mô răng thật, đồng thời đem lại kết quả thẩm mỹ tự nhiên, hài hòa.
Dán veneer răng cửa khác gì so với các răng khác?

Dán veneer răng cửa yêu cầu khắt khe về kỹ thuật.
Dán veneer ở răng cửa có những yêu cầu khắt khe hơn so với các vị trí khác, bởi đây là nhóm răng giữ vai trò thẩm mỹ cao nhất. Chỉ cần một sai lệch nhỏ về màu sắc hoặc hình dáng cũng dễ dàng bị phát hiện, làm mất đi sự hài hòa của toàn bộ nụ cười.
Thứ nhất, veneer răng cửa cần đảm bảo độ trong, độ sáng và sắc độ màu gần như tuyệt đối. Nếu màu sắc veneer không đồng nhất với các răng còn lại, đặc biệt là răng kế cận, kết quả phục hình sẽ trở nên kém tinh tế.
Thứ hai, hình thể veneer phải được thiết kế chuẩn tỷ lệ với khuôn mặt và cung răng. Răng cửa quá dài, quá to hoặc thiếu cân đối so với răng bên cạnh sẽ phá vỡ tính hài hòa của nụ cười, dù bản thân chiếc răng đó đã được phục hình đẹp.
Thứ ba, mặc dù răng cửa không chịu lực nhai lớn như răng hàm, nhưng lại thường xuyên tham gia vào động tác cắn. Do đó, veneer cần có độ bền và độ kết dính chắc chắn để tránh sứt mẻ trong quá trình sử dụng.
Chính vì những đặc thù này, dán veneer răng cửa đòi hỏi sự chính xác cao trong khâu thiết kế, lựa chọn màu và kỹ thuật gắn. Nếu thực hiện đúng chuẩn, veneer sẽ mang đến kết quả phục hình tự nhiên, khó phân biệt với răng thật, đồng thời duy trì độ bền chắc lâu dài.
Xem thêm:
>>>>Dán sứ veneer răng cửa giá bao nhiêu?
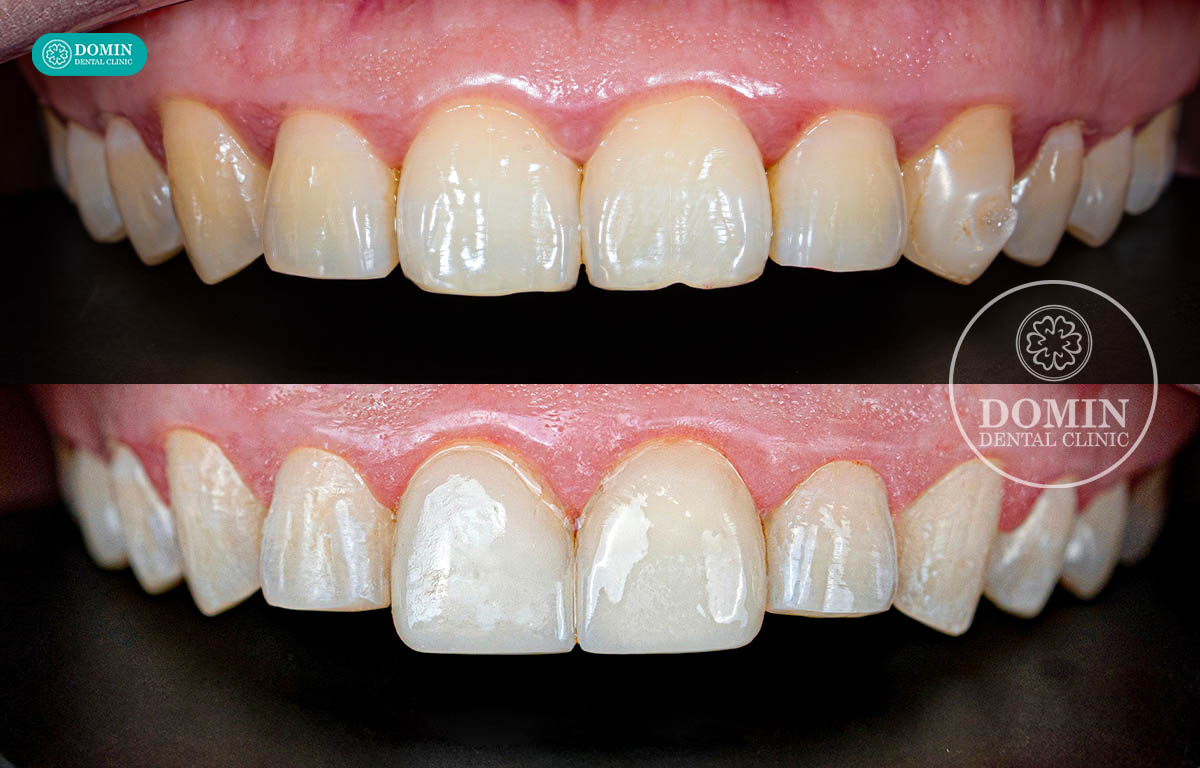
Các tình huống thực tế trước và sau dán veneer răng cửa
Dán veneer răng cửa được ứng dụng phổ biến trong nhiều trường hợp lâm sàng, giúp khắc phục nhanh chóng những khuyết điểm thường thấy và đem lại sự thay đổi rõ rệt về thẩm mỹ:



Những lưu ý quan trọng trước khi dán veneer răng cửa
Dán veneer răng cửa là một kỹ thuật đòi hỏi sự chính xác cao và chỉ phù hợp với những trường hợp nhất định. Trước khi tiến hành, cần cân nhắc kỹ các yếu tố sau:
Tình trạng răng thật
Veneer chỉ thích hợp khi răng còn chắc khỏe, tủy răng ổn định và không có bệnh lý nặng như sâu lớn, viêm tủy hay nứt gãy nhiều. Nếu cấu trúc răng bị tổn thương quá mức, bọc sứ toàn phần hoặc các giải pháp phục hình khác sẽ phù hợp hơn.
Độ dày men răng
Veneer cần một lớp men đủ dày để tạo bề mặt dán chắc chắn. Những răng mòn men nhiều hoặc đã từng can thiệp nhiều lần sẽ giảm khả năng bám dính, từ đó ảnh hưởng đến độ bền lâu dài của phục hình.
Yêu cầu về màu sắc và sự hài hòa
Răng cửa là vị trí dễ lộ nhất, nên việc chọn màu veneer cần đồng bộ với toàn hàm. Một răng quá trắng hoặc lệch tông so với các răng bên cạnh sẽ làm mất tự nhiên. Vì vậy, bác sĩ thường chỉ định kết hợp dán veneer cho cả nhóm răng cửa hoặc răng phía trước thay vì chỉ đơn lẻ một răng.
Kỳ vọng của bệnh nhân
Không ít bệnh nhân mong muốn “răng trắng hoàn hảo”, tuy nhiên trên thực tế, màu răng quá sáng sẽ thiếu tự nhiên và không phù hợp với tông da, dáng mặt. Việc trao đổi rõ kỳ vọng với bác sĩ giúp thiết kế veneer vừa thẩm mỹ vừa hài hòa.
Kinh nghiệm và kỹ thuật của bác sĩ

Veneer răng cửa không chỉ là thao tác kỹ thuật, mà còn là một nghệ thuật tạo hình thẩm mỹ. Chỉ cần sai lệch nhỏ trong việc mài, chọn màu hay tạo hình cũng có thể khiến kết quả kém tự nhiên. Do đó, tay nghề và con mắt thẩm mỹ của bác sĩ đóng vai trò quyết định.
Như vậy, dán veneer răng cửa không đơn thuần là phủ một lớp sứ mỏng lên răng. Đây là quá trình đòi hỏi đánh giá toàn diện về tình trạng răng, cung hàm, màu sắc, hình thể và cả kỳ vọng thẩm mỹ. Khi các yếu tố được đảm bảo, veneer mới thực sự phát huy giá trị, vừa bền vững về chức năng vừa tối ưu về thẩm mỹ.
Cách chăm sóc răng cửa sau khi dán veneer
Để veneer răng cửa duy trì được độ bền và tính thẩm mỹ lâu dài, việc chăm sóc sau phục hình đóng vai trò then chốt. Dưới đây là một số những lưu ý bạn cần lưu ý:
Thói quen hàng ngày
Trong thói quen ăn nhai hằng ngày, cần hạn chế sử dụng răng cửa để cắn trực tiếp các loại thực phẩm quá cứng như đá, xương, cua ghẹ hay hạt có vỏ cứng. Đồng thời, nên tránh những hành động có hại như mở nắp chai, cắn bút hoặc nhai đá, bởi đây là những thói quen dễ khiến mặt dán veneer bị sứt mẻ và giảm tuổi thọ.

Về vệ sinh răng miệng
Về vệ sinh răng miệng, nên chải răng đều đặn 2–3 lần/ngày bằng bàn chải lông mềm để không làm mòn bề mặt sứ, kết hợp với chỉ nha khoa hoặc máy tăm nước nhằm làm sạch kẽ răng và ngăn ngừa viêm lợi quanh mép dán.
Súc miệng với dung dịch sát khuẩn nồng độ nhẹ cũng là lựa chọn tốt, tránh lạm dụng các loại có tính tẩy mạnh.
Ngoài ra, việc điều chỉnh chế độ ăn uống cũng rất quan trọng: nên hạn chế sử dụng thường xuyên cà phê, trà đậm, rượu vang đỏ hay thuốc lá, những yếu tố dễ gây nhiễm màu trên veneer. Nếu có sử dụng, hãy uống nhiều nước ngay sau đó để giảm thiểu tình trạng bám màu.
Tái khám định kỳ
Bên cạnh việc duy trì thói quen ăn nhai và vệ sinh đúng cách, tái khám định kỳ 6 tháng/lần tại nha khoa là yếu tố không thể bỏ qua.
Việc thăm khám giúp bác sĩ kiểm tra độ bám dính của veneer, tình trạng nướu và màu sắc phục hình, đồng thời kịp thời xử lý khi có dấu hiệu bất thường như sứt mẻ, ê buốt hoặc viêm lợi.
Chế độ chăm sóc khoa học kết hợp theo dõi định kỳ không chỉ giúp veneer duy trì tuổi thọ trung bình 10–15 năm mà còn đảm bảo sức khỏe răng miệng tổng thể, giữ cho nụ cười luôn sáng đẹp và tự tin.
Có thể thấy, dán veneer răng cửa không đơn thuần là một thủ thuật thẩm mỹ, mà là giải pháp chuyên biệt dành cho nhóm răng giữ vai trò quan trọng nhất trong nụ cười. Phương pháp này vừa khắc phục nhanh chóng các khuyết điểm về màu sắc, hình dáng và tỷ lệ, vừa bảo tồn tối đa mô răng thật, mang lại kết quả tự nhiên và hài hòa.
Nếu bạn cũng muốn sở hữu nụ cười tự tin, rạng rỡ hãy liên hệ ngay với nha khoa Domin để được tư vấn miễn phí ngay hôm nay.


English

