Dán sứ veneer siêu mỏng được xem là giải pháp nâng cấp nụ cười hiệu quả và ít xâm lấn. Tuy nhiên, phía sau lớp sứ mỏng đó là những yêu cầu nghiêm ngặt về chỉ định và kỹ thuật thực hiện. Việc hiểu rõ bản chất phương pháp cũng như giới hạn áp dụng sẽ giúp đảm bảo kết quả thẩm mỹ ổn định, an toàn và bền vững theo thời gian.
Dán sứ veneer siêu mỏng là gì?

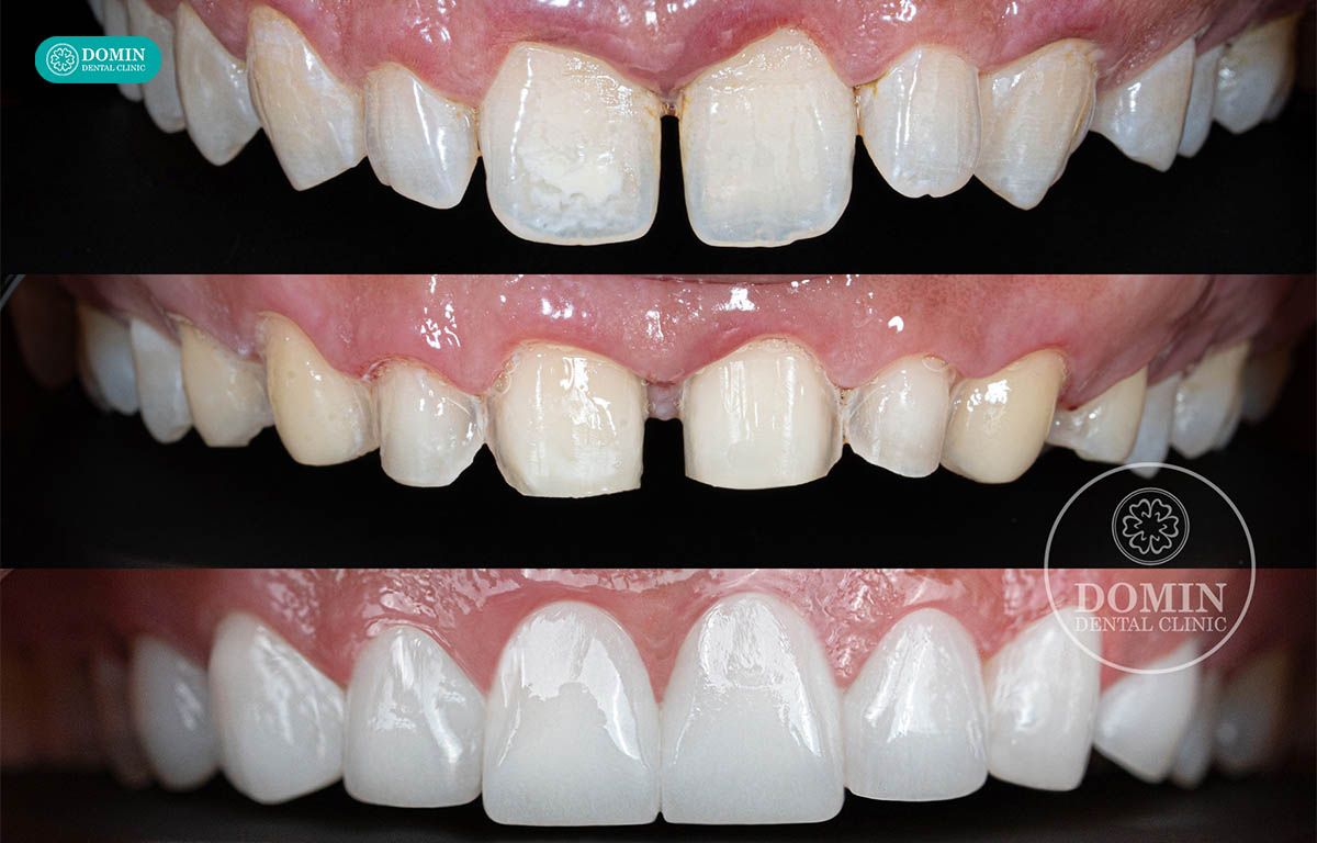
Dán sứ veneer siêu mỏng là phương pháp phục hình thẩm mỹ sử dụng một lớp sứ có độ dày chỉ khoảng 0.2 – 0.5mm dán lên mặt ngoài của răng nhằm cải thiện màu sắc, hình thể và độ đều của răng. Nhờ độ mỏng gần tương đương kính áp tròng, veneer siêu mỏng giúp bảo tồn tối đa mô răng thật, hạn chế mài răng so với bọc răng sứ truyền thống.
Veneer siêu mỏng thường được chế tác từ các dòng sứ cao cấp như E.max hoặc lithium disilicate, có độ bền cao, khả năng phản quang tự nhiên và màu sắc trong trẻo tương tự răng thật. Khi được chỉ định đúng và thực hiện đúng kỹ thuật, miếng dán sứ có thể duy trì độ bền từ 15-20 năm hoặc lâu hơn nếu chăm sóc tốt.
Veneer siêu mỏng có thật sự không mài răng?
Cần hiểu rõ rằng “siêu mỏng” không đồng nghĩa với “không cần mài răng”. Trong một số trường hợp răng chìa nhẹ, hơi khấp khểnh hoặc men răng dày, bác sĩ vẫn cần mài một lớp rất mỏng (khoảng 0.2-0.3mm) để đảm bảo veneer không bị cộm, dày môi hay sai khớp cắn sau khi dán.
Khi nào có thể KHÔNG cần mài răng?

Veneer siêu mỏng có thể không cần mài trong các trường hợp:
- Răng đều sẵn, không hô, không lệch lạc
- Răng nhỏ, thưa nhẹ
- Men răng còn tốt
- Khớp cắn chuẩn
Lúc này, bác sĩ chỉ cần xử lý bề mặt men răng rất nhẹ (etching tạo nhám) để tăng độ bám dính mà không phải mài đi mô răng thật.
Khi nào vẫn phải mài một lớp rất mỏng?
Trong nhiều trường hợp, bác sĩ vẫn cần mài cực ít (khoảng 0.2-0.3mm) để tránh tình trạng răng bị dày, cộm môi sau khi dán, tạo khoảng cho veneer ôm sát răng. Lớp mài này thường chỉ nằm trong men răng, không xâm lấn vào ngà răng nên vẫn đảm bảo tính bảo tồn cao. Cụ thể, các trường hợp có thể cần sửa soạn răng bao gồm:
- Răng hơi chìa hoặc hô nhẹ: Nếu không mài, khi dán veneer lên sẽ làm răng dày hơn và chìa ra phía trước, khiến môi bị đẩy và nụ cười kém tự nhiên.
- Răng khấp khểnh nhẹ: Veneer không có chức năng chỉnh nha. Nếu răng lệch nhẹ mà không mài điều chỉnh, miếng dán sẽ bị gồ ghề và dễ bong.
- Răng to hoặc men răng dày: Cần mài bớt một lớp mỏng để tạo khoảng cho veneer ôm sát thân răng.
- Cần che màu nhiễm nặng: Một số trường hợp nhiễm màu đậm (tetracycline mức độ cao), bác sĩ có thể cần mài nhẹ để tăng độ che phủ và tránh viền sứ bị lộ.
Ưu điểm của dán sứ veneer siêu mỏng
Dán sứ veneer siêu mỏng không chỉ là một giải pháp thẩm mỹ đơn thuần mà còn là một bước tiến trong triết lý điều trị nha khoa hiện đại: bảo tồn tối đa, can thiệp tối thiểu, thẩm mỹ lâu dài. Khi được chỉ định đúng và thực hiện chuẩn kỹ thuật, veneer siêu mỏng mang lại nhiều giá trị vượt xa yếu tố “đẹp nhanh”.
Bảo tồn cấu trúc sinh học của răng

Khác với bọc răng sứ toàn phần phải mài 360° thân răng, veneer siêu mỏng chỉ tác động ở mặt ngoài, vùng quyết định tính thẩm mỹ. Trong nhiều trường hợp, mức mài chỉ 0.2-0.3mm và vẫn nằm hoàn toàn trong lớp men răng.
Điều này mang ý nghĩa rất lớn về mặt sinh học như giữ nguyên cấu trúc ngà răng và buồng tủy, giảm nguy cơ viêm tủy, hoại tử tủy về lâu dài, hạn chế ê buốt sau điều trị
Trong nha khoa hiện đại, mỗi micron men răng đều có giá trị. Veneer siêu mỏng cho phép cải thiện thẩm mỹ mà không “đánh đổi” bằng cấu trúc răng thật.
Tối ưu thẩm mỹ nhờ hiệu ứng quang học tự nhiên
Veneer siêu mỏng thường được chế tác từ sứ thủy tinh hoặc các dòng sứ cao cấp có độ trong và khả năng truyền sáng gần giống men răng thật. Khi ánh sáng đi qua lớp sứ mỏng, nó phản xạ và tán xạ tương tự cấu trúc răng tự nhiên, từ đó mang đến kết quả hoàn hảo nhất.
Ngoài ra, độ mỏng của veneer cũng là yếu tố giúp duy trì hiệu ứng quang học sinh lý của răng thật, điều mà các phục hình dày khó đạt được.
Ít xâm lấn, ít sang chấn mô mềm
Vì không cần mài sâu và không can thiệp vào vùng sát nướu quá nhiều, veneer siêu mỏng giúp giảm tổn thương nướu, hạn chế tụt nướu sau nhiều năm, ít viêm lợi nếu đường hoàn tất được thiết kế chuẩn. Đây là điểm quan trọng khi đánh giá độ bền dài hạn.
Tuổi thọ ổn định khi kiểm soát lực cắn tốt
Veneer siêu mỏng có thể duy trì 15-20 năm nếu khớp cắn được phân tích và điều chỉnh đúng, không có thói quen nghiến răng nặng và bệnh nhân vệ sinh và tái khám định kỳ
Nhược điểm của dán sứ veneer siêu mỏng
Dù dán sứ veneer siêu mỏng được xem là giải pháp thẩm mỹ ít xâm lấn và bảo tồn răng thật, nhưng đây không phải phương pháp “hoàn hảo tuyệt đối”. Trước khi quyết định thực hiện, bạn cần hiểu rõ những nhược điểm của dán sứ và rủi ro tiềm ẩn để tránh kỳ vọng sai lệch.
Không phù hợp với mọi tình trạng răng: Veneer siêu mỏng chỉ phù hợp khi răng tương đối đều và khớp cắn ổn định. Trong các trường hợp như răng hô nhiều, khấp khểnh nặng, mất răng hoặc răng vỡ lớn, veneer không thể thay thế niềng răng hay phục hình toàn diện.
Chi phí cao hơn so với nhiều phương pháp khác: Veneer siêu mỏng sử dụng vật liệu sứ cao cấp và đòi hỏi kỹ thuật chế tác tinh xảo. Chi phí thường cao hơn bọc sứ phổ thông hoặc các phương pháp làm trắng.
Phụ thuộc lớn vào tay nghề bác sĩ và labo: Đây là nhược điểm quan trọng nhất của dán sứ veneer siêu mỏng. Vì lớp sứ rất mỏng, mọi sai số dù nhỏ trong thiết kế, xử lý bề mặt hay kỹ thuật bonding đều có thể ảnh hưởng đến độ bền và thẩm mỹ. Nếu thực hiện không chuẩn, veneer có thể bong sớm, hở viền gây viêm nướu hoặc lệch khớp cắn. Do đó, dù ít xâm lấn, veneer siêu mỏng vẫn đòi hỏi bác sĩ cùng labo có tay nghề cao, quy trình chính xác tuyệt đối.
Lưu ý khi dán sứ veneer siêu mỏng
Dán sứ veneer siêu mỏng là phương pháp thẩm mỹ bảo tồn răng thật tối đa, nhưng để đạt được kết quả bền đẹp lâu dài, bạn cần lưu ý những yếu tố quan trọng sau:

Lựa chọn bác sĩ và labo uy tín
Veneer siêu mỏng đòi hỏi độ chính xác cao trong thiết kế và kỹ thuật bonding. Tay nghề bác sĩ và chất lượng labo chế tác sẽ ảnh hưởng trực tiếp đến độ sát khít của viền sứ, tính tự nhiên của màu sắc. Và việc lựa chọn đúng địa chỉ, đúng bác sĩ là yếu tố quan trọng hơn cả giá thành.
Đảm bảo đúng chỉ định
Veneer siêu mỏng chỉ phù hợp với răng tương đối đều, khớp cắn ổn định và khuyết điểm ở mức nhẹ đến trung bình. Nếu răng hô nhiều, lệch lạc nặng hoặc sai khớp cắn phức tạp, cần cân nhắc niềng răng hoặc phương án điều trị khác trước khi dán veneer.
Không chạy theo quảng cáo “không mài 100%”
Không phải trường hợp nào cũng có thể hoàn toàn không mài răng. Mài cực ít trong phạm vi men răng đôi khi cần thiết để đảm bảo veneer không bị dày, cộm hoặc sai khớp cắn.
Chăm sóc sau khi dán veneer
Sau khi dán sứ veneer siêu mỏng, việc chăm sóc đúng cách đóng vai trò quyết định đến độ bền lâu dài của phục hình. Bạn cần duy trì vệ sinh răng miệng kỹ lưỡng mỗi ngày bằng bàn chải lông mềm và chỉ nha khoa, hạn chế cắn vật cứng như đá lạnh hoặc mở nắp chai bằng răng. Đồng thời, nên tái khám định kỳ 6 tháng/lần để bác sĩ kiểm tra độ sát khít và tình trạng khớp cắn.
Như vậy, dán sứ đang trở thành xu hướng và dần được xem như “thước đo” cho một nụ cười đẹp hiện đại. Tuy nhiên, đừng để xu hướng quyết định thay bạn. Hãy lựa chọn nha khoa uy tín, bác sĩ kinh nghiệm dựa trên thăm khám kỹ lưỡng, đánh giá đúng tình trạng răng và xây dựng kế hoạch điều trị phù hợp. Chỉ khi được thực hiện đúng chỉ định và đúng kỹ thuật, kết quả thẩm mỹ mới thực sự ổn định và bền vững theo thời gian.


English

