Dán sứ veneer Zirconia có bị xỉn màu không? Thực tế, Zirconia là một trong những vật liệu giữ màu tốt nhất, nhưng khả năng bị xỉn hay không còn phụ thuộc vào kỹ thuật thực hiện và cách bạn chăm sóc mỗi ngày.
Bản chất của veneer zirconia
Trước khi đi vào lý giải dán sứ veneer Zirconia có bị xỉn màu không chúng ta cần bản chất của vật liệu này.
Zirconia là một dạng sứ nguyên khối với cấu trúc tinh thể cực kỳ chặt chẽ. Khác với các loại vật liệu thẩm mỹ có độ thẩm thấu cao, zirconia hoàn toàn không hút nước và cũng không hấp thu sắc tố từ thức ăn. Đây là lý do vì sao, về mặt cơ học và hóa học, zirconia được xem là một trong những vật liệu ổn định nhất trong nha khoa.

Trong môi trường miệng, răng phải chịu rất nhiều biến đổi: nhiệt độ lúc nóng lúc lạnh, pH thay đổi liên tục, rồi enzyme trong nước bọt và hàng loạt loại axit từ thức ăn. Những yếu tố này có thể khiến nhiều vật liệu bị đổi màu theo thời gian. Nhưng với zirconia, sự ổn định gần như là tuyệt đối. Vật liệu này không bị oxy hóa, không bị phân hủy trong axit nhẹ và cũng không bị tác động bởi enzyme trong khoang miệng. Nói cách khác, những yếu tố khiến răng thật dễ xỉn màu hầu như không ảnh hưởng được đến zirconia.
Không chỉ vậy, bề mặt của veneer zirconia ngày nay được xử lý rất tinh xảo. Sau khi được thiết kế bằng công nghệ CAD/CAM, veneer sẽ được phủ một lớp men sứ mỏng và đánh bóng ở mức nano. Bề mặt càng mịn thì càng ít khả năng bám màu.
Veneer zirconia có bị xỉn màu không?
Khi đã hiểu rõ bản chất vật liệu, chúng ta có thể trả lời thẳng vào câu hỏi mà rất nhiều khách hàng quan tâm: Veneer Zirconia có bị xỉn màu theo thời gian hay không? Bác sĩ nha khoa Domin nhấn mạnh rằng: bản thân zirconia gần như không bị xỉn màu.

Lý do là vì zirconia không thấm nước, không hút màu, cấu trúc tinh thể của nó không cho phép sắc tố từ thức ăn hay đồ uống xâm nhập vào bên trong. Điều này khác hoàn toàn so với các loại vật liệu có độ thẩm thấu cao như composite hoặc một số dòng veneer sứ mỏng truyền thống. Với zirconia, ngay cả khi bạn sử dụng cà phê, trà hay đồ ăn đậm màu trong thời gian dài, bản chất lớp sứ vẫn giữ nguyên màu gốc.
Tuy nhiên, điều khiến nhiều người hiểu lầm là ở chỗ: veneer không đổi màu nhưng cảm giác “xỉn” vẫn có thể xuất hiện. Và điều này không đến từ zirconia, mà đến từ môi trường xung quanh nó. Khi bề mặt răng tích tụ mảng bám hoặc lớp biofilm, màu sắc nhìn từ bên ngoài sẽ tối đi, khiến bệnh nhân nghĩ rằng veneer bị xuống màu.
Tương tự, nếu nướu bị viêm hoặc thâm, đường viền răng có thể trông sẫm hơn, tạo cảm giác như veneer không còn sáng như ban đầu. Ngoài ra, sau một thời gian dài không tái khám, cao răng ở gần cổ răng cũng có thể làm vùng rìa veneer trông kém sáng hơn, dù vật liệu vẫn giữ màu hoàn toàn.
Tại nha khoa Domin, khi thăm khám và kiểm tra cho bệnh nhân sau một thời gian sử dụng, 90% những tình huống “xỉn màu” đều giải quyết được chỉ bằng việc lấy cao răng, đánh bóng lại bề mặt, và điều trị nướu nếu cần. Chỉ riêng những ca veneer được làm sai kỹ thuật, ví dụ như men phủ không chuẩn, bề mặt không được đánh bóng kỹ, hoặc keo dán bị hở mới có thể làm vùng cổ răng xuất hiện màu hơi đục hoặc sẫm. Nhưng đây là vấn đề kỹ thuật, không phải lỗi của vật liệu zirconia.
Vậy nên, có thể khẳng định rằng: Zirconia là một trong những vật liệu bền màu nhất trong nha khoa thẩm mỹ. Nếu chăm sóc đúng cách và được thực hiện với kỹ thuật tốt, veneer zirconia có thể giữ màu ổn định trong nhiều năm, thậm chí hơn 10–15 năm mà không có dấu hiệu đổi màu.
Yếu tố giúp veneer zirconia giữ màu lâu dài
Để veneer zirconia giữ được màu sắc bền đẹp trong nhiều năm, chúng ta cần nhìn vào những yếu tố đóng vai trò quyết định ngay từ lúc chế tác cho đến quá trình sử dụng lâu dài.
Trước hết, chất lượng vật liệu là nền tảng quan trọng. Zirconia thế hệ mới có độ tinh khiết cao, cấu trúc hạt ổn định và khả năng kháng nhuộm màu vượt trội. Tuy nhiên, màu sắc có bền hay không lại phụ thuộc rất nhiều vào cách mà vật liệu đó được xử lý và hoàn thiện.
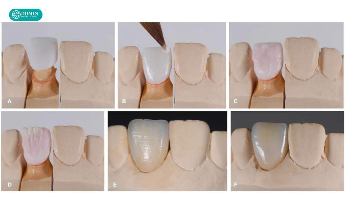
Yếu tố then chốt đầu tiên là kỹ thuật chế tác và độ chính xác khi thiết kế bằng CAD/CAM. Khi veneer được thiết kế chuẩn từng micron, bề mặt sẽ đồng nhất, đường nét liền mạch và hạn chế tối đa tình trạng lồi lõm, những vị trí rất dễ giữ lại mảng màu. Một veneer được tạo hình tốt sẽ phản xạ ánh sáng đều hơn, giúp duy trì độ trong và độ bóng tự nhiên lâu dài.

Thứ hai là quy trình phủ men và đánh bóng. Lớp men phủ cuối cùng đóng vai trò như “áo giáp bảo vệ” cho veneer. Nếu được nung ở nhiệt độ chuẩn và đánh bóng đến mức nano, lớp bề mặt không chỉ mịn màng mà còn khó bám màu hơn gấp nhiều lần so với bề mặt xử lý thủ công. Đây là lý do sau vài năm, những veneer được xử lý đúng chuẩn vẫn giữ được độ bóng ổn định.
Một yếu tố ít được nhắc đến nhưng lại rất quan trọng là độ sát khít giữa veneer và răng thật. Khi veneer ôm sát bề mặt răng, không có khe hở hay khoảng trống tại cổ răng, thì khả năng tích tụ mảng bám, xi măng dư hoặc thức ăn sẽ giảm đáng kể. Độ sát khít tốt giúp khu vực đường viền luôn sạch sẽ và sáng hơn theo thời gian.
Bên cạnh đó, kỹ thuật dán veneer cũng ảnh hưởng trực tiếp đến độ bền màu. Một lớp xi măng dán chất lượng cao, được xử lý đúng quy trình, không bị oxy hóa hay đổi màu theo thời gian sẽ giúp giữ phần cổ răng luôn trong trẻo và ổn định về màu sắc.
Cuối cùng, chế độ chăm sóc của bệnh nhân cũng góp phần quyết định veneer giữ màu được bao lâu. Những người duy trì thói quen vệ sinh răng miệng tốt thường veneer sáng và bền hơn.
Như vậy, độ bền màu của veneer zirconia không chỉ đến từ bản thân vật liệu mà còn từ hàng loạt yếu tố kỹ thuật và chăm sóc đi kèm. Khi các yếu tố này được đảm bảo đầy đủ, veneer zirconia có thể duy trì thẩm mỹ ổn định trong nhiều năm mà không lo đổi màu.
Cách chăm sóc để veneer luôn trắng sáng
Mặc dù zirconia có khả năng kháng màu rất tốt, nhưng bề mặt veneer vẫn cần được giữ sạch để ánh sáng phản chiếu tối ưu và không bị lớp mảng bám che phủ. Dưới đây là những lưu ý khi chăm sóc để veneer zirconia luôn sáng, sạch và bền:
- Đánh răng đúng kỹ thuật 2 lần/ngày, dùng bàn chải lông mềm và kem đánh răng không quá mài mòn.
- Sử dụng chỉ nha khoa hoặc máy tăm nước hằng ngày để giảm mảng bám ở khe răng, nguyên nhân gây xỉn màu.
- Hạn chế đồ ăn dễ bám màu như cà phê, trà, coca, rượu vang đỏ; nếu uống, hãy dùng ống hút để hạn chế tiếp xúc.
- Không hút thuốc vì nicotine là tác nhân khiến bề mặt răng bị ám vàng nhanh nhất.
- Tái khám định kỳ 6 tháng/lần để vệ sinh chuyên sâu và kiểm tra tình trạng veneer.
- Tránh cắn đồ cứng như đá, càng cua, kẹo cứng… để tránh nứt, sứt, tạo viền hở dễ bám màu.
- Súc miệng sau ăn uống đặc biệt sau các thực phẩm nhiều sắc tố.
- Giữ vệ sinh lưỡi và khoang miệng để hạn chế vi khuẩn gây ố màu bám lên bề mặt veneer.
Dán sứ veneer Zirconia có bị xỉn màu không? Thông thường là không nếu quá trình thực hiện đúng chuẩn, vật liệu Zirconia chính hãng và kỹ thuật dán được thực hiện chính xác. Kết hợp với việc chăm sóc đúng cách, mặt dán veneer hoàn toàn có thể giữ màu trắng sáng bền đẹp nhiều năm.
Nếu bạn đang cân nhắc làm veneer hoặc muốn được bác sĩ phân tích chi tiết hơn trường hợp của mình, hãy để lại câu hỏi, bác sĩ nha khoa Domin luôn sẵn sàng hỗ trợ.


English

