Muốn nụ cười đẹp mà vẫn giữ răng thật tối đa? Bí quyết nằm ở quy trình dán sứ Veneer Zirconia chuẩn. Tham khảo ngay quy trình dưới đây để hiểu vì sao phương pháp này được nhiều người lựa chọn!
Quy trình dán sứ Veneer Zirconia chuẩn nha khoa
Để đảm bảo miếng dán sứ Veneer Zirconia đạt độ bền, độ khít và tính thẩm mỹ cao, quy trình thực hiện luôn được tiến hành theo từng bước rõ ràng và chính xác.

Bước 1: Thăm khám và lập kế hoạch
Khi thực hiện thăm khám, bác sĩ sẽ kiểm tra độ chắc của răng, mức độ mòn men, hình thể răng hiện tại và màu sắc tự nhiên của răng thật. Tiếp theo, khách hàng được chụp X-quang và scan răng bằng hệ thống quét 3D để ghi nhận dữ liệu chính xác về khớp cắn, vị trí răng và tình trạng mô quanh răng.
Dựa trên những thông tin này, bác sĩ sẽ phân tích và đưa ra kế hoạch điều trị cá nhân hóa cho từng trường hợp
Bước 2: Sửa soạn men răng

Ở bước này, bác sĩ sẽ tiến hành mài một lớp rất mỏng trên bề mặt răng. Với veneer zirconia, mức độ mài sẽ khoảng 0.3 – 0.5mm tùy tình trạng từng khách hàng.
Quy trình được thực hiện bằng công nghệ cao, giúp thao tác nhẹ nhàng, hạn chế tối đa ê buốt. Mục tiêu là giữ lại mô răng tự nhiên nhiều nhất, đảm bảo răng khỏe, ổn định và phù hợp để gắn veneer Zirconia lên trên.
Bước 3: Gắn răng tạm
Sau khi mài răng, bác sĩ có thể gắn veneer tạm để đảm bảo thẩm mỹ trong thời gian chờ veneer Zirconia hoàn thiện. Miếng tạm này giúp khách hàng cảm thấy tự tin khi giao tiếp, đồng thời cho phép bác sĩ kiểm tra trước về hình dáng, chiều dài và sự hài hòa trước khi chế tác bản chính xác.
Bước 4: Thiết kế, chế tác veneer Zirconia
Dữ liệu scan được đưa vào hệ thống CAD/CAM để thiết kế veneer Zirconia với độ chính xác cao
Ở bước này, kỹ thuật viên sẽ lựa chọn độ trong, độ sáng và tông màu phù hợp với khuôn mặt và mong muốn thẩm mỹ của khách hàng. Trước khi hoàn thiện, từng veneer được kiểm tra kỹ về độ khít mép viền, đảm bảo khi gắn lên răng thật sẽ tự nhiên và ôm sát tối đa.
Bước 5: Thử và gắn cố định
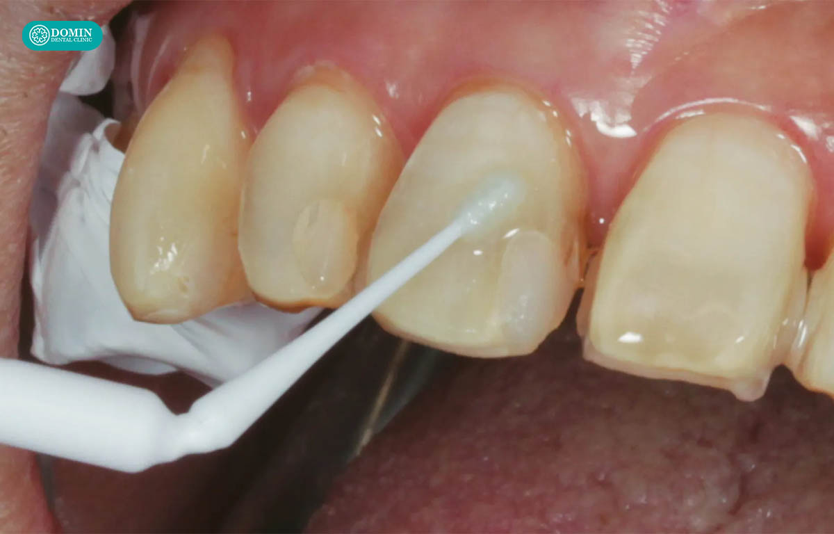
Khi veneer Zirconia hoàn thiện, bác sĩ sẽ thử lên răng thật để kiểm tra độ khít, màu sắc và hình dáng. Sau khi điều chỉnh các chi tiết nhỏ, veneer được gắn cố định bằng keo chuyên dụng, kết hợp chiếu đèn để đảm bảo độ bám chắc.
Cuối cùng, bác sĩ kiểm tra lại khớp cắn để đảm bảo khách hàng ăn nhai thoải mái và tự nhiên.
Bước 6: Hướng dẫn chăm sóc sau khi dán veneer
Sau khi hoàn tất quy trình, khách hàng sẽ được hướng dẫn cách chăm sóc để veneer. Cụ thể, bạn nên vệ sinh răng miệng hằng ngày bằng bàn chải lông mềm và chỉ nha khoa, kết hợp máy tăm nước nếu có. Trong 48 giờ đầu, nên tránh các thực phẩm quá cứng, quá nóng, quá lạnh hoặc có màu đậm để đảm bảo keo gắn ổn định và veneer giữ được màu sắc tự nhiên.
Ngoài ra, cần tái khám đúng lịch để bác sĩ kiểm tra độ ổn định của veneer và sức khỏe răng, nướu.
Thời gian thực hiện dán sứ veneer Zirconia
Thời gian thực hiện dán sứ Veneer Zirconia thường diễn ra khá nhanh chóng và được chia thành từng giai đoạn rõ ràng:
30-60 phút: Thăm khám và chuẩn bị
Ở giai đoạn đầu, bác sĩ kiểm tra răng, nướu, chụp X-quang và scan 3D để đánh giá tình trạng răng. Toàn bộ bước thăm khám, tư vấn và lập kế hoạch điều trị thường diễn ra trong 30–60 phút, giúp khách hàng hiểu rõ tình trạng của mình và định hướng phương án thẩm mỹ phù hợp.
45-90 phút: Mài và lấy dấu
Trong buổi tiếp theo, bác sĩ tiến hành mài răng siêu mỏng và lấy dấu hoặc scan 3D để chuẩn bị cho việc chế tác veneer. Toàn bộ quá trình này thường mất khoảng 45–90 phút, tùy theo số lượng răng thực hiện và tình trạng răng ban đầu của khách hàng.
2-5 ngày: Chế tác veneer 2-3 ngày
Sau khi lấy dấu, dữ liệu được chuyển sang labo để thiết kế và chế tác veneer Zirconia. Quá trình này mất khoảng 2–3 ngày, đảm bảo từng miếng veneer đạt độ khít, màu sắc và hình dáng chính xác theo kế hoạch đã đề ra.
30-60 phút: Gắn hoàn thiện

Khi veneer đã sẵn sàng, khách hàng quay lại nha khoa để bác sĩ thử veneer, điều chỉnh chi tiết và gắn cố định bằng keo chuyên dụng. Thời gian hoàn thiện thường trong khoảng 30–60 phút, và sau đó khách hàng có thể sở hữu nụ cười mới tự nhiên, bền đẹp ngay lập tức.
Tại Nha khoa Domin, mọi bước trong quy trình dán sứ đều được chuẩn hóa theo tiêu chuẩn quốc tế, ứng dụng công nghệ hiện đại và thực hiện trực tiếp bởi đội ngũ bác sĩ giàu kinh nghiệm.
Nha khoa cam kết mang đến cho khách hàng kết quả tự nhiên, bền đẹp và an toàn, với quy trình minh bạch và chăm sóc tận tâm. Nếu bạn đang tìm một địa chỉ uy tín để dán sứ Veneer Zirconia, hãy liên hệ đến nha khoa Domin để được hỗ trợ!
Lợi ích khi áp dụng quy trình dán sứ Veneer Zirconia chuẩn
Khi thực hiện dán sứ Veneer Zirconia theo đúng quy trình chuẩn, khách hàng sẽ nhận được nhiều lợi ích rõ ràng và lâu dài.

Trước hết, veneer được thiết kế và gắn sát khít, giúp đảm bảo độ bền cao, hạn chế bong sút và duy trì tuổi thọ từ 10-20 năm. Bên cạnh đó, quy trình dán sứ veneer chuẩn cũng giúp mặt dán ôm sát viền nướu, mang lại tính thẩm mỹ tự nhiên, không bị cộm, không kênh và không gây vướng víu khi ăn nhai.
Ngoài ra, mài răng đúng kỹ thuật và scan chính xác giúp giảm tối đa xâm lấn mô răng, bảo tồn răng thật và hạn chế ê buốt sau điều trị. Công nghệ chế tác hiện đại còn đảm bảo màu sắc đúng chuẩn, không bị đục hay mất độ trong.
Cuối cùng, việc kiểm tra khớp cắn và hướng dẫn chăm sóc sau cùng giúp khách hàng duy trì kết quả ổn định, ăn nhai thoải mái và giữ được nụ cười đẹp lâu dài.


English

